Just had new teeth done what a fantastic job the dentist done fit perfectly the assistant dasha was really great on her assistance knew exactly what to get when asked dasha is very polite & does her job well every member of staff is a credit to smilesahead





I called the other day to see if I could book in an emergency appointment. They were very kind and gave me a spot the next day to be seen. The staff were lovely and comforting knowing I was nervous, and they did an excellent professional job to help the situation I was in. They also gave me in depth information about what was happening and aftercare which is really helpful and gave me reassurance. They do seem very booked up and I wouldn’t take my example as normal. After explaining my situation to the staff, they squeezed me in last minute to genuinely help me. So be prepared to wait if your condition isn’t serious.
As a very nervous person about visiting dentist, I had to be seen to have a tooth out,I can not say thankyou enough to shree,what an amazing lady throughout my tooth extraction she kept talking to me and reassuring I was in good hands etc ,so a big thankyou to you again 😀
I have been a long term patient at this dental practice and I have seen it change owners and different staff have come and gone over the years but never has there been a better dentist than Khurram. His attention to detail and love of all new technology and gadgets make him up to date and outstanding in his field. He has years of experience both in his own practice and formerly at Kettering General Hospital. His professional manner and subject knowledge are excellent which result in high levels of excellent patient care. I trust his judgement and advice 100%. After many years deliberating whether to or not, I decided to get some orthodontic work done. Khurram worked in collaboration with Ise Lodge Dental practice and now I have the smile of my dreams!!! I couldn't be happier with the result...seeing the finished effect was better than any make over reveal on TV.
Dr. Khurram Qureshi has been caring for patients for more than 20 years. He combines deep clinical knowledge with a gentle, thoughtful approach, ensuring every patient feels heard and supported through their dental journey.
Dr. Qureshi will guide you every step of the way, from your first consultation to the final fitting of your dentures, answering questions and making sure your experience is as comfortable as possible. He’s proud to have helped patients across Corby, Little Stanion, Rockingham, Rothwell and beyond rediscover their confidence through restorative dental care.







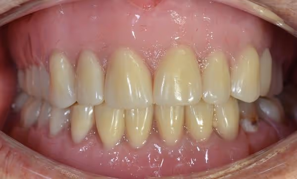
We offer both full dentures (for patients missing all their teeth in the upper or lower jaw) and partial dentures (to replace a few missing teeth). Your dentist will help you decide which type is most suitable for you.
Definitely! We’ll design your dentures to closely match your natural teeth’s shape, size, and colour. They'll be made to suit your smile and facial structure, so they blend in beautifully.
It can take a little while to get used to when you first start wearing dentures, but we’ll make sure they’re carefully fitted to be as comfortable as possible. If you feel too much discomfort, we can adjust your dentures.
While you can enjoy most foods and drinks with dentures, it usually takes a little time to adjust when you begin wearing them. Initially, we recommend starting with soft foods and cutting your meals into smaller pieces. Some sticky, hard, or very chewy foods might be tricky or uncomfortable, so it’s wise to avoid them at first. With some practice, you should be able to tuck into all your favourites.