Being someone who is terrified of dentist I would have panic attacks before my treatments but honestly from becky at reception making me feel calm to shree really putting me at ease, explaining what she was doing & not rushing me I was able to complete my treatment & get the smile I wanted. 💯% recommend smilesahead. They are professional but lovely, friendly & care about they patients I will also be thankful for how I was treated




_600px.avif)
This has been my dental surgery for years, the staff are welcoming and honest with their work. I was living elsewhere and had a check up that suggested i get 3 fillings and 3 teeth removed I never went through with it and when i returned and make an appointment I was assured that my teeth were fine and not to be messed with :D Would recommend to anyone looking for a good private dentist
The best Dental practice in Corby very friendly personal, amazing receptionist, Doctors are so experienced and knowledgeable .
I called the other day to see if I could book in an emergency appointment. They were very kind and gave me a spot the next day to be seen. The staff were lovely and comforting knowing I was nervous, and they did an excellent professional job to help the situation I was in. They also gave me in depth information about what was happening and aftercare which is really helpful and gave me reassurance. They do seem very booked up and I wouldn’t take my example as normal. After explaining my situation to the staff, they squeezed me in last minute to genuinely help me. So be prepared to wait if your condition isn’t serious.
Dr. Khurram Qureshi has more than 20 years of experience helping people restore their oral health and confidence. He takes a thoughtful, patient-first approach, making sure you feel informed, comfortable, and in control every step of the way.
From consultation to final fitting, Dr. Qureshi works closely with patients across Corby, Little Stanion, Rockingham and beyond to deliver restorations that feel as good as they look.







With good oral hygiene and regular dental check-ups, crowns and bridges can last 10–15 years or more. We’ll monitor them during your visits and advise you if any maintenance is ever needed.
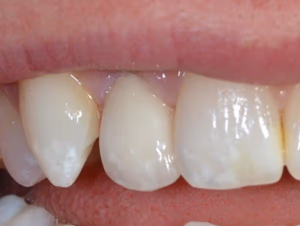
We’ll make sure your crowns or bridge are colour-matched and shaped to blend with your existing teeth, using ceramic or porcelain that mimics natural enamel.
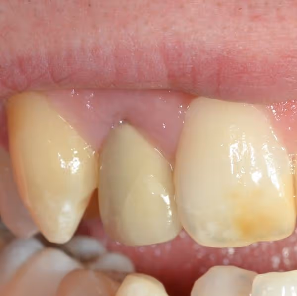
A crown covers a single damaged tooth, while a bridge replaces one or more missing teeth by anchoring to nearby teeth or implants. Your dentist will help you decide which is right for you.
Yes. Once your new restoration is fitted and you’ve adjusted to it, you’ll be able to eat and chew as normal, just like with your natural teeth.